Cosmetic
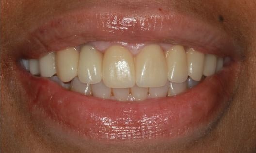
This patient came to us seeking a beautiful new smile for her wedding day. Her treatment involved two steps. First, we performed a full upper mouth restoration. Second, we provided a whitening treatment for the bottom row of teeth. After her treatment was finished, she was ready for her wedding day, feeling wonderful about her smile’s new appearance.



