Cosmetic

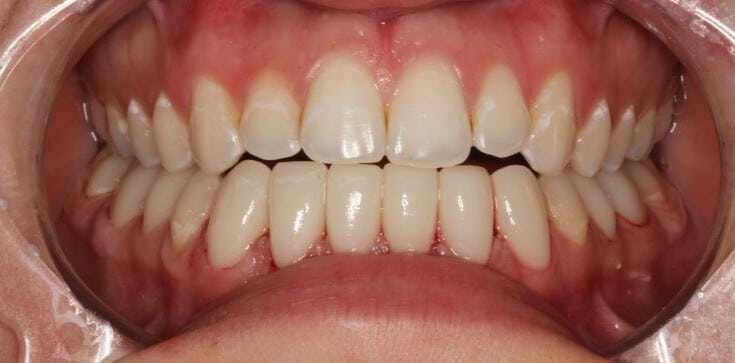
This patient came to see us due to a misalignment in her bite and some chipping and unevenness in her front teeth. To treat these issues, we used a combination of porcelain restorations and a fixed orthotic to straighten her smile and alleviate her misaligned jaw.

Before

After