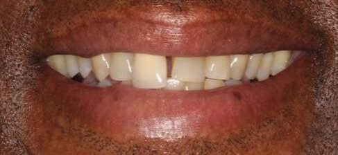
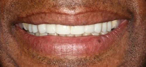
Full Mouth Restoration
This patient didn’t experience any type of TMJ or jaw alignment-related issues. His motivation for seeking us out was entirely cosmetic. After receiving a full upper mouth restoration, he was confident and ready to put himself out there again.



