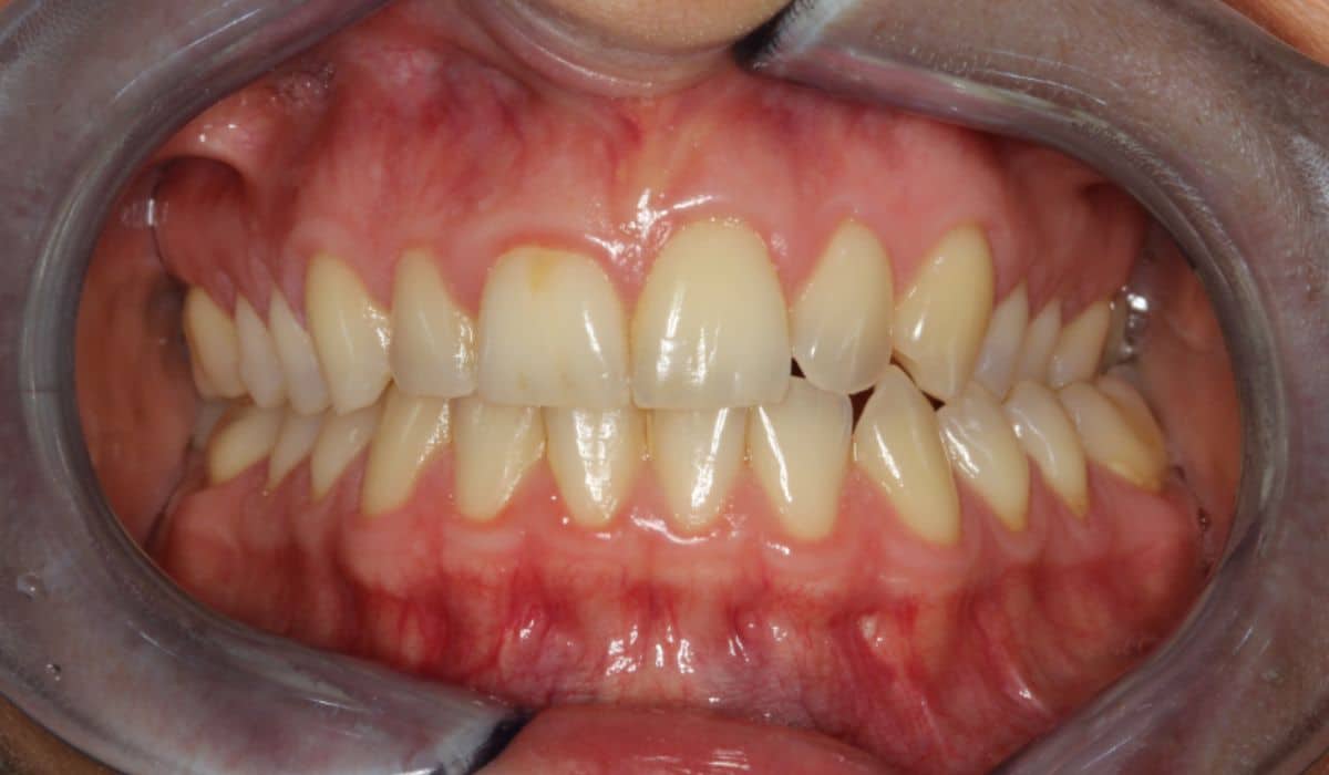
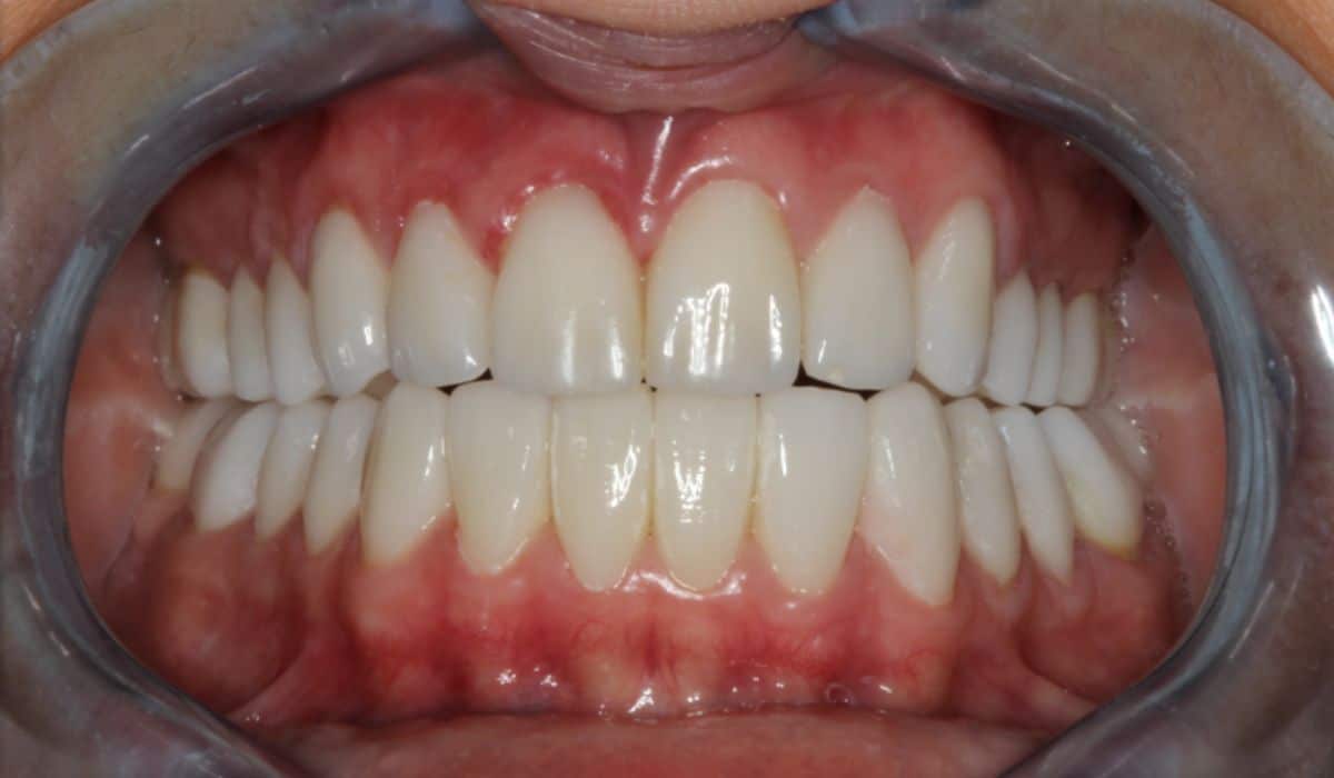
TMJ
This patient was told by her previous dentist that her chronic, TMJ-related jaw pain could not be alleviated. We brought proper alignment back to her jaw and relieved her pain. Now, she’s back to playing with her family and enjoying life the way she used to.



