We are thrilled to show you the fantastic transformation Dr. Wanda Mejia and her team made on our beloved patient.
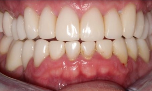
Our patient came to Dr. Mejia at Westchester TMJ & Aesthetics because of several broken, worn-down teeth that needed immediate attention. They also had some gum disease and advanced tartar buildup on his teeth. The patient had experienced bone loss due to these factors, and he was losing facial support in his neck and lips, too. They said they experienced the following symptoms:
- Teeth clenching and grinding (known as “bruxism”)
- Neck ache
- Jaw popping
- Jaw pain
- Tooth notching (A dental abfraction is a notched-out area on the tooth’s root at the gumline that may be caused by toothbrush wear over some time (usually by vigorous brushing in certain areas or using a hard-bristled toothbrush). The tooth’s hard enamel is unaffected, while the softer root becomes worn, creating a notch at the gumline of the tooth.
A Personalized Treatment Path
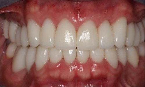
TMJ dentist Dr. Mejia immediately began Phase 1 & 2 TMJ treatment to tackle the patient’s multiple issues. All teeth were fully restored with porcelain. They were also custom-fitted with an orthopedic oral split. Periodontal therapy was performed, specifically Scaling and Root Planing. The patient was fitted with an oral appliance to keep his jaw and bite in their optimal position, and he was scheduled for post-treatment cleanings and exams.
With a fully restored bite and smile, the patient has none of the symptoms that brought him to Dr. Mejia’s Westchester TMJ & Aesthetics practice. He has a stunning new smile, a bite in its optimal position, and a new lease on life.
Our satisfied patient said the following about Westchester TMJ & Aesthetics:
“The entire staff embraces you and makes you feel welcome from the second you stepped in. From day one, the entire procedure was explained to me thoroughly. Every step of the way, I was cared for. What stood out was that the doctor reached out to me after my treatment; it made me know they truly cared.”
Contact Dr. Mejia Today!
Please contact Dr. Mejia at Westchester TMJ & Aesthetics today if you want life-changing TMJ treatment. You may fill out our online contact form, and one of our team members will reach out soon to schedule your transformation or answer any questions.



