Meet Christine
At Westchester TMJ & Aesthetics, Dr. Wanda Mejia and her team are dedicated to improving patients’ lives by addressing chronic dental issues. Christine, one of our valued patients, came to us seeking relief from constant pain. Her discomfort was significantly affecting her quality of life, making it difficult to enjoy daily activities or spend time with her family.
Christine had been suffering from persistent pain that disrupted her life. Simple tasks like getting out of bed or making breakfast became overwhelming. After dealing with this discomfort for far too long, she sought help from Dr. Mejia to find relief and improve her overall well-being.
Advanced Treatment Plan
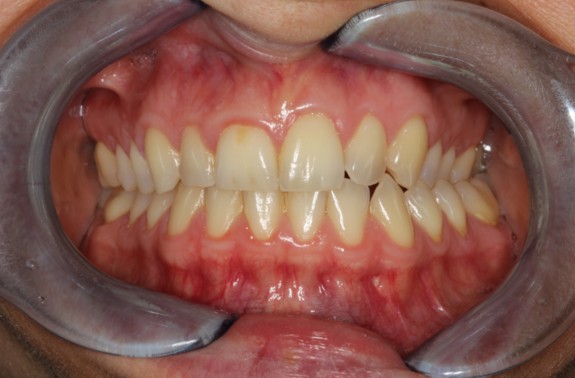
Christine’s treatment involved a combination of gum therapy, full mouth restorations, and bite correction. Each visit included tensing to ensure proper healing and adjustment. Dr. Mejia also performed a full mouth reconstruction and corrected Christine’s bite, which played a crucial role in alleviating her pain. With a focus on personalized care, Dr. Mejia guided Christine through every step, ensuring she understood the treatment process and felt comfortable at every stage.
At Westchester TMJ & Aesthetics, we use cutting-edge technology to achieve the best possible outcomes for our patients. For Christine, we utilized the K-7 evaluation system to diagnose her TMJ disorder, a CT scan for detailed imaging, and the iTero digital impression system to create precise restorations. This advanced technology allowed us to provide Christine with a tailored and effective treatment plan that addressed both her functional and aesthetic needs.
Astounding Results
Since completing her treatment, Christine has experienced a remarkable transformation. “Ever since I’ve had the treatment done, I’m able to enjoy my kids again, I’m able to go back to work, I can enjoy the little things, even just getting out of bed and making breakfast in the morning. It’s just wonderful. I feel so much better.”
Christine’s new smile and pain-free life are a testament to the comprehensive care she received at Westchester TMJ & Aesthetics.
“You walk into this office, and it’s like night and day compared to other dental practices. You feel comfortable, everyone has smiles on, and they know you by name, which is amazing. Dr. Mejia talked me through every step. She let me know exactly what was going to happen and when. It was absolutely amazing.”
Contact Westchester TMJ Today
Christine’s experience at Westchester TMJ & Aesthetics is just one example of the compassionate and personalized care that Dr. Mejia and her team provide to every patient. We are honored to have helped her regain her quality of life.
If you are experiencing TMJ-related symptoms and would like to explore potential treatment options, contact us today at (914) 594-6854 to schedule an appointment. We’re here to help.



